0903 466 305

Laser điều trị u tuyến mồ hôi

Nguyên nhân gây bệnh chưa rõ, một số yếu tố thuận lợi cho phát bệnh như mùa hè, môi trường nhiệt độ cao, Stress, hormone sinh dục, bệnh có tính gia đình. U tuyến mồ hôi là u lành tính do sự phát triển quá mức của tế bào ống tuyến mồ hôi nước.
Liên hệ ngay để được tư vấn miễn phí
Bác sĩ Cường: 0903 466 305 (BS Chuyên khoa 2, Thầy thuốc ưu tú)
Địa chỉ: 280 Nguyên Trãi - Phường Tân Sơn - Thành phố Thanh Hóa ( cạnh chợ Tây Thành )

U tuyến mồ hôi

Lâm sàng

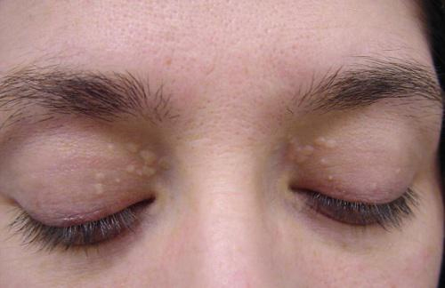
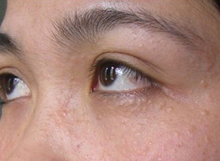
  • Vị trí thường ở quanh mắt nhất là mi dưới, trán, mặt, có khi bị cả vùng đầu, ngực trên, nách, thân mình, rốn, hông, vùng mu, sinh dục nam nữ, mu ngón tay, bụng dưới nếu có tổn thương ở đầu có thể gây rụng tóc không sẹo.
  • Tổn thương cơ bản là các sẩn nhỏ, chắc 1 - 2 mm màu như màu da hoặc màu hơi vàng sáng, tương đối cứng chắc, trơn nhẵn. Tổn thương thường khu trú quanh mắt nhất là mi dưới, trán, nhưng cũng có ca mọc phát ban liên tiếp thành đợt nổi nhiều sẩn lan tỏa ở 1/2  người phía trên.

Điều trị

  • Điều trị nội khoa ít có tác dụng
  • Dùng bôi, chấm ngoài da như : Isotretinoin, Trichloroacetic acid
  • Phẫu thuật cắt bỏ
  • Điều trị bằng Laser Fractional loại bỏ u tương đối rễ ràng và an toàn cũng như chăm sóc sau điều trị loại bỏ u cũng đơn giản, hiệu quả điều trị tốt

Bệnh u tuyến mồ hôi

* Điều trị Công nghệ Laser Fractional CO2 lượng và tần số thích Bôi tê, sát khuẩn , Dùng laser sử dụng năng hợp loại bỏ u tuyến mồ hôi

  • Sau khi điều trị, vùng da sẽ  đỏ và bắt đầu đóng vảy ở những ngày tiếp theo
  • Bôi thuốc chống viêm, chống phù nề sau Laser và bôi mỡ kháng sinh kết hợp với sử dụng kháng sinh uống. 
  • Trong thời gian này, chỉ nên rửa mặt bằng nước ấm hoặc nước muối sinh lý. 
  • Không được tự cạy gỡ, phải để lớp vảy tự bong để lớp da mới không bị tổn thương. 
  • Luôn che chắn kỹ càng, bôi kem chống nắng hằng ngày để tránh gây tổn thương tới làn da đang lành. 
  • Tuân thủ những yêu cầu của bác sĩ và tái khám đúng lịch hẹn. 

Mọi chi tiết tư vấn khám chữa bệnh vui lòng liên hệ:

PHÒNG KHÁM CHUYÊN KHOA DA LIỄU

BS Chuyên khoa II – Phạm Ngọc Cường: Nguyên giám đốc Bệnh viện Da liễu Thanh Hóa

Địa chỉ: 280 Nguyễn Trãi , Phường Tân Sơn, TP Thanh Hóa ( cạnh chợ Tây Thành )

Hotline: 0903 466 305 - Email: phamngoccuongdl@gmail.com

Tin khác

FACEBOOK


LIÊN HỆ


PHÒNG KHÁM CHUYÊN KHOA DA LIỄU

BS Chuyên khoa II – Phạm Ngọc Cường: Nguyên giám đốc Bệnh viện Da liễu Thanh Hóa

Địa chỉ: 280 Nguyễn Trãi , Phường Tân Sơn, TP Thanh Hóa ( cạnh chợ Tây Thành )

Hotline: 0903 466 305 - Email: phamngoccuongdl@gmail.com

LIÊN KẾT MẠNG XÃ HỘI
Social   Social   Social  
© 2019 Dalieuthanhoa.com. All Rights Reserved